Tandregulering

Invisalign

Invisalign-systemet er velegnet til at rette de fleste tandstillingsfejl, f.eks. skæve tænder, overbid og saksebid.

Invisalign

Aftagelige, usynlige skinner til tandregulering

Invisalign er tandreguleringssystemer, der består af et sæt aftagelige og næsten usynlige skinner (også kaldet alignere eller usynlige bøjler). Antallet af skinner afhænger af behovet for tandretning.

De aftagelige skinner kan eksempelvis fjernes, når man spiser eller børster tænder. Hver enkelt skinne benyttes i ca. 14 dage, hvorefter man selv skifter skinnen til en ny. Hver skinne kan flytte tænderne 0,25-0,33 mm.

Tandskinnerne vil blive specialdesignet på baggrund af digitale scanninger af dine tænder, så systemet passer præcis til dig.

Eftersyn og efterbehandling

Eftersyn hos tandlægen bør foretages 2-3 gange under behandlingen. Efter endt behandling skal man i en kortere periode anvende en aftagelig natskinne (også kaldet en retainer) eller en retentionstråd (dvs. en metaltråd bag tænderne), så man ikke risikerer, at tænderne vandrer tilbage til udgangspunktet.

Se et eksempel på et færdigt resultat med Invisalign

Drømmer du om flotte, lige tænder?

Den typiske årsag til tandregulering er kosmetisk. Skæve tænder kan dog også være svære at holde rene eller påvirke dit bid, så du oplever gener som ondt i kæben, hovedpine eller migræne. Uanset årsagen kan tandregulering med gennemsigtige tandskinner være en nem og næsten usynlig løsning, der giver dig det smil, du drømmer om. 

På billederne ses et afsluttet behandlingsforløb med gennemsigtige tandskinner fra Invisalign. Behandlingen er udført på en patient hos tandlægen.dk Hundige Strandvej af ortodontist Glen Happel.

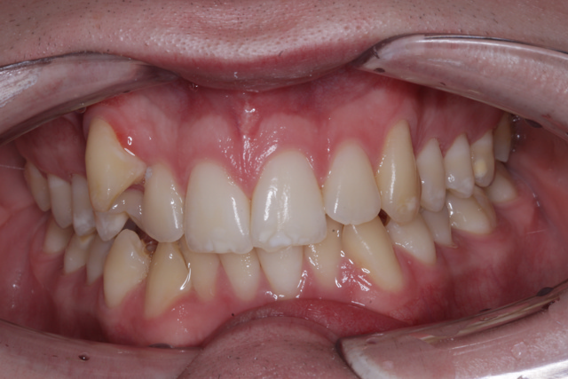
invisalign behandling før

Før Invisalign behandling

Efter Invisalign behandling

Efter Invisalign behandling

Antal timer i døgnet skinnerne skal benyttes:

  • Invisalign: 20-22 timer.

Længden af behandlingen:

  • Invisalign: 6-18 måneder

En del praktiserende tandlæger hos tandlægen.dk er blevet uddannet og certificeret til at kunne tilbyde behandlinger med Invisalign uden at have en specialuddannelse i ortodonti. Hvis der skulle vise sig et behov, vil din tandklinik naturligvis altid konsultere en specialtandlæge.

– hvis du har fået tandregulering med Invisalign

Gode råd, når du har fået tandregulering med Invisalign

  • Brugstid: Benyt dine Invisalign-skinner 20-22 timer i døgnet.

  • Rengøring: Benyt en blød tandbørste og mild sæbe eller opvaskemiddel for at undgå bakterieangreb, misfarvning eller dårlig lugt. Brug koldt vand, og skyl grundigt inden brug.

  • Tandbørstning: Du skal børste tænder og bruge tandtråd uden Invisalign-skinne i munden.

  • Opbevaring: Opbevar dine Invisalign-skinner i en beholder, så du undgår at miste eller beskadige dem.

  • Pas på med høje temperaturer: Udsæt ikke dine Invisalign-skinner for høje temperaturer, ellers riskerer du, at de mister formen og dermed ikke længere er effektive.

  • Natte-brug: Invisalign-skinner bør også bruges om natten, så du mindst benytter dem 20-22 timer i døgnet.

  • Kontaktsport: Du bør ikke bære Invisalign-skinner, mens du dyrker kontaktsport eller ekstremsport. Brug gerne tandbeskytter i stedet.

  • Eftersyn: Du bør tage til eftersyn hos tandlægen 2-3 gange i løbet af din behandlingstid.

  • Spise og drikke: Undgå at spise eller drikke, mens du har dine Invisalign-skinner på. De er beregnet til at modstå trykket ved tygning og kan blive beskadiget eller misfarvet af mad og drikke.

  • Rygning: Hvis du ryger, risikerer du, at dine Invisalign-skinner bliver misfarvede og dermed mere synlige i dagligdagen.

  • Behandlingstid: Din behandling kan vare mellem 6-18 måneder afhængig af, hvilke tandstillingsfejl du behandles for.

FAQ

– få svar på de mest almindelige spørgsmål angående Invisalign

Invisalign kan anvendes af de fleste voksne og teenagere.

Det er meget almindeligt at blive behandlet med en kombination af fastsiddende bøjler og Invisalign. Spørg din tandlæge, om Invisalign vil være en god løsning for dig.

Invisalign kan anvendes til at behandle overbid, underbid og saksebid samt skæve tænder hos de fleste voksne og teenagere.

En tandbro kobler flere tænder sammen, og derfor udgør de en betydelig modstand mod tandbevægelse. Din tandlæge vil kunne vurdere, om din tandbro får betydning for din tandregulering med Invisalign.

Tandkroner er normalt ikke et problem, når man benytter Invisalign til tandregulering.

Behandlingsperioden er 8-12 måneder, og du vil i denne periode kunne se mærkbare forbedringer. Det er dog en gradvis proces, og der kan godt gå nogle uger, før du kan se resultater.

Ja, mellemrum mellem tænder (diastema) er normalt nemme at lukke, hvis du tandreguleres med Invisalign.

Har man bidproblemer, vil man ofte have forstyrrelser i kæbeleddet, som kan forværres ved skinne-baserede behandlinger som Invisalign. Din tandlæge vil kunne vurdere, om dine bidproblemer vil være en hindring.

Hvad koster det at få rettet tænder med Invisalign?

Hos tandlægen.dk får du altid et uforpligtende behandlingsforslag med prisoverslag, når det gælder større behandlinger. Det gælder også tandregulering med Invisalign. Dermed kan du trygt tage stilling til både pris og behandling.

Vi samarbejder også med Sygeforsikringen Danmark, der afhængigt af din dækning giver tilskud i forbindelse med tandretning.

Har du brug for en betalingsordning?

Hos tandlægen.dk kan du dele betalingen for din behandling op på en række faste månedlige ydelser, så udgiften bliver mere overkommelig. Tandlægen.dk har indgået samarbejde med Resurs Bank.